Case症例紹介

矯正治療・インプラント治療・歯周外科治療・ホワイトニング・セラミック治療による修復治療​

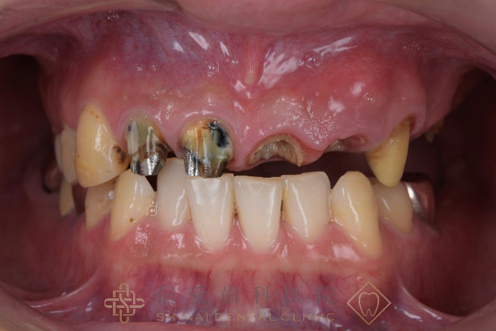
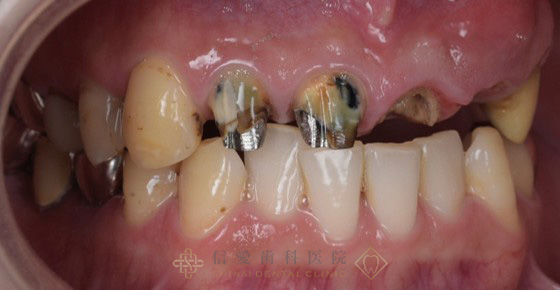
  • 矯正治療・インプラント治療・歯周外科治療・ホワイトニング・セラミック治療による修復治療before

    BEFORE

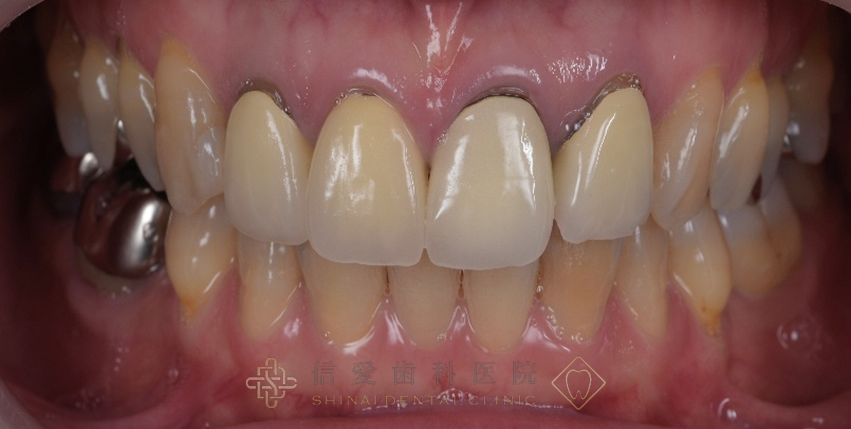
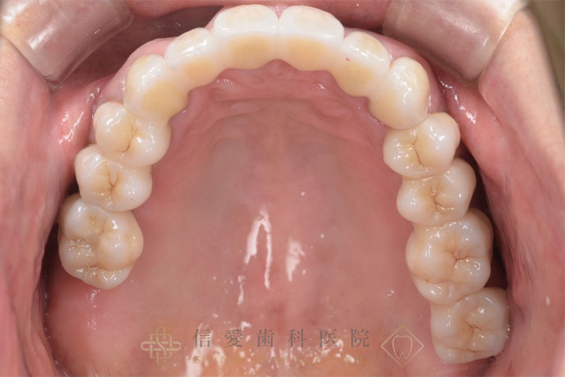
  • 矯正治療・インプラント治療・歯周外科治療・ホワイトニング・セラミック治療による修復治療after

    AFTER

主訴 前歯が外れた
患者様情報 30代 男性
治療期間 2年
治療費 5,500,000円​
主な治療内容 矯正治療、インプラント治療、歯周外科治療、ホワイトニング、セラミック治療​
リスク・副作用 セルフケアや定期検診などの口腔衛生管理を怠ると虫歯の再発やインプラント周囲炎を起こす可能性がある。

矯正治療とセラミックによる審美歯科治療​

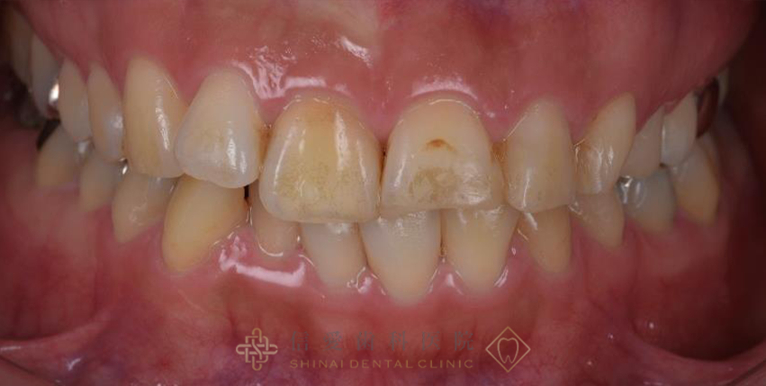
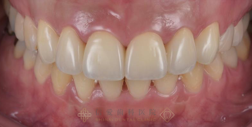
  • 矯正治療とセラミックによる審美歯科治療 before

    BEFORE

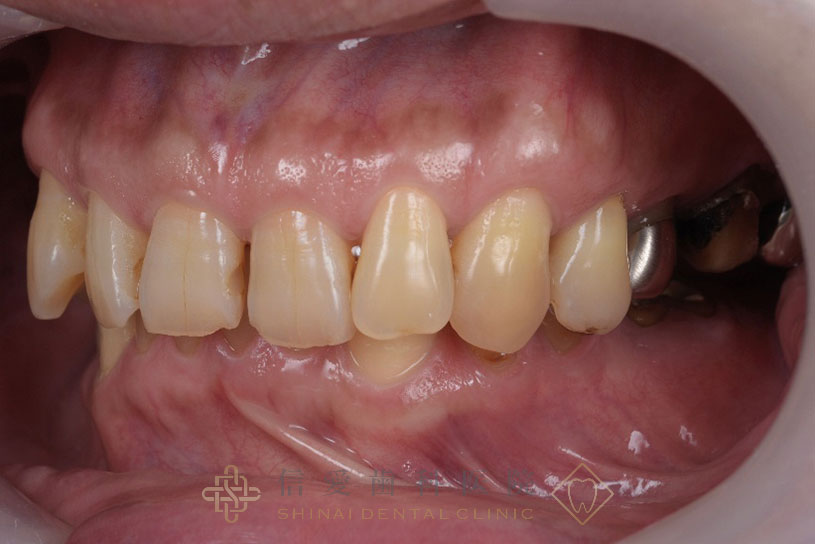
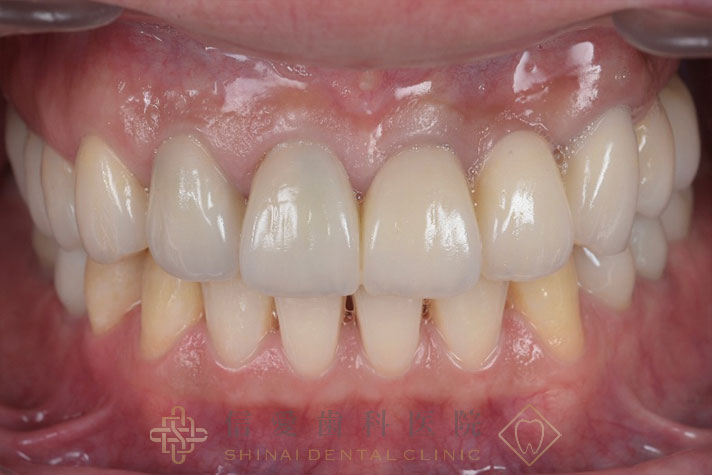
  • 矯正治療とセラミックによる審美歯科治療 after

    AFTER

主訴 かみ合わせによって、削れた歯を治したい。​
患者様情報 30代 女性
治療期間 2年3か月​
治療費 2,450,000円​
主な治療内容 矯正治療、セラミック治療、インターナルブリーチ(ホワイトニング)​
リスク・副作用 マウスピースを使用しないと、歯が欠けてくる可能性がある。​
セルフケアや定期検診などの口腔衛生管理を怠ると歯周炎や虫歯の再発リスクがある。

セラミック治療による修復治療

  • 矯正治療・インプラント治療・歯周外科治療・ホワイトニング・セラミック治療による修復治療 before

    BEFORE

  • 矯正治療・インプラント治療・歯周外科治療・ホワイトニング・セラミック治療による修復治療 after

    AFTER

主訴 前歯を綺麗にしたい
患者様情報 40代女性
治療期間 3か月
治療費 1,210,000円
主な治療内容 セラミック治療
リスク・副作用 セルフケアや定期検診などの口腔衛生管理を怠ると歯周炎や虫歯の再発リスクがある。
歯ブラシを強く当てすぎると歯ぐきが退縮する可能性があります。

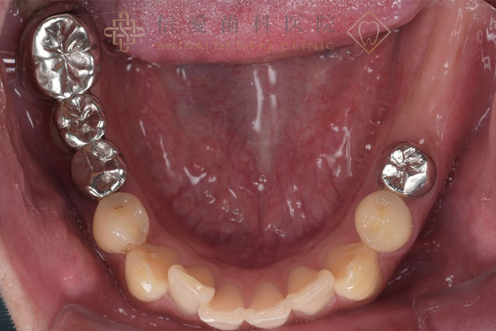
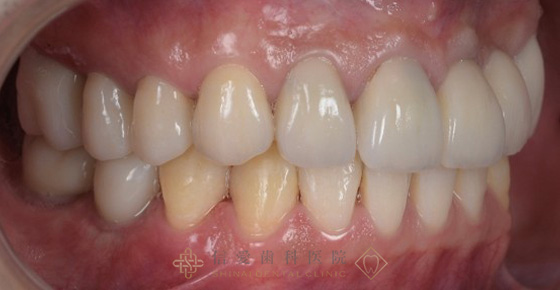
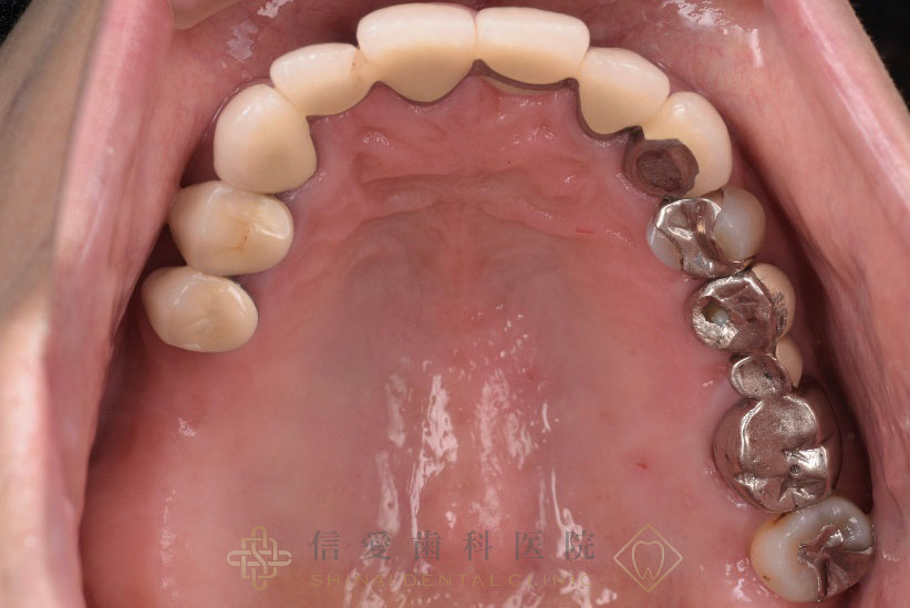
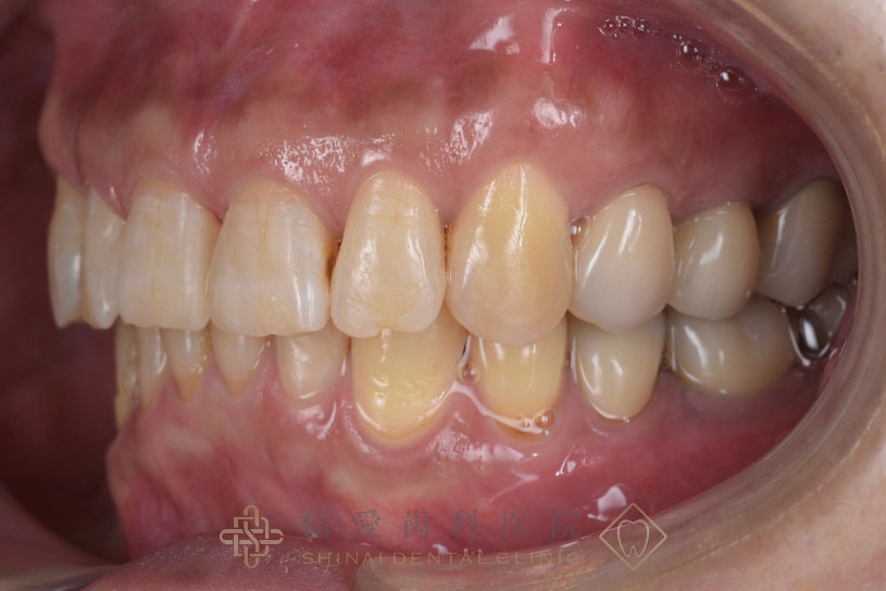
矯正治療・インプラント治療・歯周外科治療・ホワイトニング・セラミック治療による修復治療

  • 矯正治療・インプラント治療・歯周外科治療・ホワイトニング・セラミック治療による修復治療 before

    BEFORE

  • 矯正治療・インプラント治療・歯周外科治療・ホワイトニング・セラミック治療による修復治療 after

    AFTER

主訴 前歯が外れた
患者様情報 30代男性
治療期間 2年
治療費 5,500,000円
主な治療内容 矯正治療、インプラント治療、歯周外科治療、ホワイトニング、セラミック治療
リスク・副作用 セルフケアや定期検診などの口腔衛生管理を怠ると虫歯の再発やインプラント周囲炎を起こす可能性がある。

矯正治療・インプラント治療・セラミック治療による修復治療

  • 矯正治療・インプラント治療・セラミック治療による修復治療 before

    BEFORE

  • 矯正治療・インプラント治療・セラミック治療による修復治療 after

    AFTER

主訴 奥歯が外れた
患者様情報 30代男性
治療期間 1年
治療費 2,530,000円
主な治療内容 矯正治療、インプラント治療、セラミック治療
リスク・副作用 セルフケアや定期検診などの口腔衛生管理を怠ると虫歯の再発やインプラント周囲炎を起こす可能性がある。

矯正治療・インプラント治療・セラミック治療による修復治療

  • 矯正治療・インプラント治療・セラミック治療による修復治療 before

    BEFORE

  • 矯正治療・インプラント治療・セラミック治療による修復治療 after

    AFTER

主訴 食事ができない
患者様情報 60代男性
治療期間 3年
治療費 6,435,000円
主な治療内容 矯正治療、左下6番・7番インプラント治療、セラミック治療
リスク・副作用 セルフケアや定期検診などの口腔衛生管理を怠ると虫歯の再発やインプラント周囲炎を起こす可能性がある。

矯正治療・インプラント治療・セラミック治療による修復治療

  • 矯正治療・インプラント治療・セラミック治療による修復治療 before

    BEFORE

  • 矯正治療・インプラント治療・セラミック治療による修復治療 after

    AFTER

主訴 噛むと前歯が当たる
患者様情報 50代女性
治療期間 2年6ヶ月
治療費 6,930,000円
主な治療内容 矯正治療、右上6番インプラント治療、セラミック治療
リスク・副作用 セルフケアや定期検診などの口腔衛生管理を怠ると虫歯の再発やインプラント周囲炎を起こす可能性がある。

矯正治療・骨造成・歯周組織再生療法・セラミック治療による修復治療

  • 矯正治療・骨造成・歯周組織再生療法・セラミック治療による修復治療 before

    BEFORE

  • 矯正治療・骨造成・歯周組織再生療法・セラミック治療による修復治療 after

    AFTER

主訴 歯が揺れる。かみ合わせを治したい。
患者様情報 50代 女性
治療期間 2年
治療費 2,200,000円(税込)
主な治療内容 矯正治療、骨造成、歯周組織再生療法、セラミック治療
リスク・副作用 セルフケアや定期検診などの口腔衛生管理を怠ると歯周炎や虫歯の再発リスクがある。

インプラントとセラミックによる修復治療

  • インプラントとセラミックによる修復治療 before

    BEFORE

  • インプラントとセラミックによる修復治療 after

    AFTER

主訴 奥歯で噛めない
患者様情報 70代 男性
治療期間 1年6ヶ月
治療費 4,920,000円(税込)
主な治療内容 インプラント治療、セラミック治療
リスク・副作用 セルフケアや定期検診などの口腔衛生管理を怠ると虫歯の再発やインプラント周囲炎を起こす可能性がある。

矯正治療とセラミックによる審美歯科治療

  • 矯正治療とセラミックによる審美歯科治療 before

    BEFORE

  • 矯正治療とセラミックによる審美歯科治療 after

    AFTER

主訴 歯並びを良くしたい
患者様情報 40代 女性
治療期間 2年
治療費 1,804,000円(税込)
主な治療内容 矯正治療、セラミック治療
リスク・副作用 ブラッシングが悪い場合、歯ぐきが下がる可能性がある。
リテーナーを外したままにすると後戻りする可能性がある。

インプラントとセラミックによる審美歯科治療

  • インプラントとセラミックによる審美歯科治療 before

    BEFORE

  • インプラントとセラミックによる審美歯科治療 after

    AFTER

主訴 前歯が折れた、歯を綺麗にしたい
患者様情報 70代 女性
治療期間 5ヶ月
治療費 1,210,000円(税込)
主な治療内容 抜歯即時インプラントの埋入、セラミック治療
リスク・副作用 ブラッシングが悪かったり、口腔衛生不良状態が続くと虫歯の再発やインプラント周囲炎を起こす可能性がある。

インプラント治療による咬合再構成

  • インプラント治療による咬合再構成 before

    BEFORE

  • インプラント治療による咬合再構成 after

    AFTER

主訴 顎の音が鳴る、入れ歯が合わない
患者様情報 60代 女性
治療期間 2年
治療費 6,120,000円(税込)
主な治療内容 骨造成、インプラントの埋入、歯肉移植、顎運動検査、部分矯正、セラミック治療
リスク・副作用 ブラッシングが悪かったり、口腔衛生不良状態が続くと虫歯の再発やインプラント周囲炎を起こす可能性がある。

インプラント治療と歯肉移植治療

  • インプラント治療と歯肉移植治療 before

    BEFORE

  • インプラント治療と歯肉移植治療 after

    AFTER

主訴 奥歯で食べ物が噛めない
患者様情報 60代 女性
治療期間 6回
治療費 1,100,000円(税込)
主な治療内容 インプラントの埋入、粘膜の移植治療
リスク・副作用 ブラッシングが悪かったり、口腔衛生不良状態が続くとインプラント周囲炎を起こす可能性がある。

矯正治療とセラミック治療

  • 矯正治療とセラミック治療 before

    BEFORE

  • 矯正治療とセラミック治療 after

    AFTER

  • 矯正治療とセラミック治療 before

    BEFORE

  • 矯正治療とセラミック治療 after

    AFTER

主訴 顎の音が鳴る、前歯がかみ合わない、奥歯が虫歯になりやすい。
患者様情報 50代 女性
治療期間 12ヶ月(矯正治療)、保定期間後1ヶ月(セラミック治療)
治療費 矯正治療:1,210,000円(税込)、セラミック治療:495,000円(税込)
主な治療内容 矯正治療、セラミック治療
リスク・副作用 リテーナーを装着していないと後戻りする可能性がある。メインテナンスに通わないと虫歯になる可能性がある。

ダイレクトボンディング

  • 矯正治療とセラミック治療 before

    BEFORE

  • 矯正治療とセラミック治療 after

    AFTER

主訴 詰め物の形が悪い
患者様情報 50代 女性
治療期間 1回
治療費 44,000円(税込)
主な治療内容 ダイレクトボンディング
リスク・副作用 長年使用していくと擦り減っていく可能性がある。

ダイレクトボンディング

  • 矯正治療とセラミック治療 before

    BEFORE

  • 矯正治療とセラミック治療 after

    AFTER

主訴 古い銀歯を外したい
患者様情報 40代 女性
治療期間 1回
治療費 77,000円(税込)
主な治療内容 ダイレクトボンディング
リスク・副作用 長年使用していくと擦り減っていく可能性がある。

セラミックとガムピーリング(歯ぐきの色素沈着を除去する治療)による審美治療

  • 精密義歯 before

    BEFORE

  • 精密義歯 after

    AFTER

主訴 歯と歯ぐきの変色が気になる
患者様情報 30代 女性
治療期間 3ヶ月
治療費 572,000円(税込)
主な治療内容 根管治療、セラミック治療、ガムピーリング
リスク・副作用 術直後にヒリヒリすることがある。歯ブラシの圧力が強いと歯ぐきが下がることがある。

セラミックによる審美治療

  • 精密義歯 before

    BEFORE

  • 精密義歯 after

    AFTER

主訴 前歯を綺麗にしたい
患者様情報 40代 女性
治療期間 3ヶ月
治療費 748,000円(税込)
主な治療内容 根管治療、セラミック治療
リスク・副作用 歯ブラシの圧力が強いと歯ぐきが下がることがある。

セラミックによる審美治療

  • 精密義歯 before

    BEFORE

  • 精密義歯 after

    AFTER

主訴 前歯の色が気になる
患者様情報 20代 男性
治療期間 3ヶ月
治療費 220,000円(税込)
主な治療内容 根管治療、レーザーを用いた歯肉整形、ホワイトニング(インターナルブリーチ)、セラミック治療
リスク・副作用 歯ブラシを強く当てすぎると歯ぐきが退縮する可能性があります。

ホワイトニング(インターナルブリーチ)&ダイレクトべニア

  • 精密義歯 before

    BEFORE

  • 精密義歯 after

    AFTER

主訴 前歯の色が気になる
患者様情報 30代 男性
治療期間 4ヶ月
治療費 264,000円(税込)
主な治療内容 ホワイトニング(インターナルブリーチ)、ダイレクトベニア
リスク・副作用 時間が経つと、歯の色が後戻りする可能性があります。

精密義歯③

  • 精密義歯 before

    BEFORE

  • 精密義歯 after

    AFTER

主訴 古い入れ歯が不安定で嚙めない
患者様情報 70代 女性
治療期間 6ヶ月
治療費 2,442,000円(税込)
主な治療内容 上顎:精密義歯(磁性アタッチメント) 下顎:被せ物(メタルセラミック)精密義歯(パーシャルパラレルミリング)
リスク・副作用 ご自身でのブラッシングや定期検診が不足すると、歯周炎や虫歯になる可能性があります。

精密義歯②

  • 精密義歯 before

    BEFORE

  • 精密義歯 after

    AFTER

主訴 これまでの入れ歯が合わない
患者様情報 70代 男性
治療期間 4ヶ月
治療費 2,244,000円(税込)
主な治療内容 上顎:精密義歯(磁性アタッチメント) 下顎:被せ物(メタルセラミック、メタルセラミック)精密義歯
リスク・副作用 ご自身でのブラッシングや定期検診が不足すると、歯周炎や虫歯になる可能性があります。

精密義歯

  • 精密義歯 before

    BEFORE

  • 精密義歯 after

    AFTER

主訴 入れ歯が合わず、噛めない
患者様情報 70代 女性
治療期間 6ヶ月
治療費 2,552,000円(税込)
主な治療内容 メタルセラミック治療、上顎精密義歯(総義歯)、下顎精密義歯(部分床義歯)
リスク・副作用 術後、メインテナンスを行わないと、むし歯になるリスクがある。

ご予約・お問い合わせ

診療時間

日・祝

09:00~13:00

/

/

14:00~17:30

/

/

09:00~17:00

/

/

アクセス

〒276-0033 千葉県八千代市八千代台南2-10-35 京成本線八千代台より徒歩7分

・成田から50分
 成田空港第1ターミナル⇒八千代台駅
・羽田から60分
 羽田空港第1ターミナル⇒JR津田沼駅・京成津田沼駅⇒八千代台駅
・東京駅から45分
 東京駅⇒JR船橋駅・京成船橋駅⇒八千代台駅

駐車場 10台完備

第2・第3駐車場の場所は下記をご参照ください。

駐車場のご案内

連携医療機関

緊急時に備え、下記の総合病院と連携しています。 患者さまの安全を第一に考え、不測の事態にも迅速に対応できる体制を維持しております。
・東葉高速鉄道八千代中央駅より徒歩9分 東京女子医科大学八千代医療センター

矯正治療の中でも、外科手術を伴うケースなどの特殊な症例に関しては連携しております医院をご紹介させていただきます。
・東葉高速鉄道八千代緑が丘駅より徒歩2分 まきの歯列矯正クリニック

  • menu